Метапневмовірус вже в Україні — скільки випадків виявлено

Метапневмовірус в Україні — стало відомо про перші випадки
Лікар дивиться у мікроскоп. Фото: Pexels

В Україні вже виявили випадки захворювання на метапневмовірус. Вірус HMPV може спричиняти захворювання верхніх і нижніх дихальних шляхів у людей будь-якого віку. Серед вразливих категорій — маленькі діти, люди похилого віку та люди з ослабленою імунною системою.

Про це повідомила інфекціоніст Ольга Голубовська у Facebook в неділю, 5 січня.

Реклама
Читайте також:

Скільки випадків метапневмовірусу зафіксовано в Україні

Метапневмовірус (HMPV) поширився й Україною. За словами Голубовської, наразі зафіксовано понад 10 випадків захворювання.

"Натепер, за даними ЦГЗ, в Україні з початку сезону зареєстровано 13 офіційно підтверджених випадків, звичайно, реально їх більше", — зазначила Голубовська.

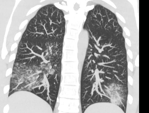
Снимок легких
Легені, уражені метапневмовірусом. Фото: Ольга Голубовська

Вона також додала, що зараження відбувається крапельним шляхом, епізоди можуть повторюватись протягом життя. Захворювання частіше є легким та супроводжується нежитем та кашлем, але може бути тяжким із розвитком прогресуючої дихальної недостатності.

"Орієнтовний інкубаційний період — від 3 до 6 днів, а середня тривалість захворювання може змінюватися залежно від тяжкості, в середньому 7-10 днів", — додала інфекціоніст.

Нагадаємо, новий вірус HMPV (метапневмовірус) поширився і в Казахстані. Там вже зафіксували понад 30 випадків зараження.

Метапневмовірус, який схожий на COVID-19, почав поширюватись у Китаї. Наразі в країні переповнені лікарні та зростає кількість захворювань.

медицина вірус лікарі захворювання легені
Реклама
Реклама
Реклама
Реклама